Dicas de Atendimento Farmacêutico para Dor de Garganta

Introdução No atendimento em farmácia, queixas como dor de garganta são frequentes e exigem uma abordagem responsável, técnica e bem estruturada. A inflamação da garganta pode variar de uma leve irritação por tempo seco até quadros infecciosos mais graves. A aplicação correta dos protocolos de atendimento é fundamental para garantir a segurança do paciente, reduzir … Ler mais

Dicas de Atendimento Farmacêutico para Reidratação Oral

Introdução A desidratação, decorrente de quadros de diarreia, vômitos, sudorese excessiva ou baixa ingestão de líquidos, é uma emergência clínica silenciosa que pode levar a complicações graves, especialmente em crianças e idosos. O papel do farmacêutico no balcão é identificar os sinais de perda de fluidos e instituir o protocolo de Reidratação Oral (SRO) imediatamente, … Ler mais

Dicas de Atendimento Farmacêutico para Rinite Alérgica

Introdução A rinite alérgica é uma inflamação da mucosa nasal mediada por anticorpos IgE após a exposição a alérgenos (ácaros, pólen, pelos de animais). É uma das condições crônicas mais comuns no balcão da farmácia. O papel do farmacêutico é ajudar o paciente a controlar as crises, diferenciar a rinite de um resfriado comum e … Ler mais

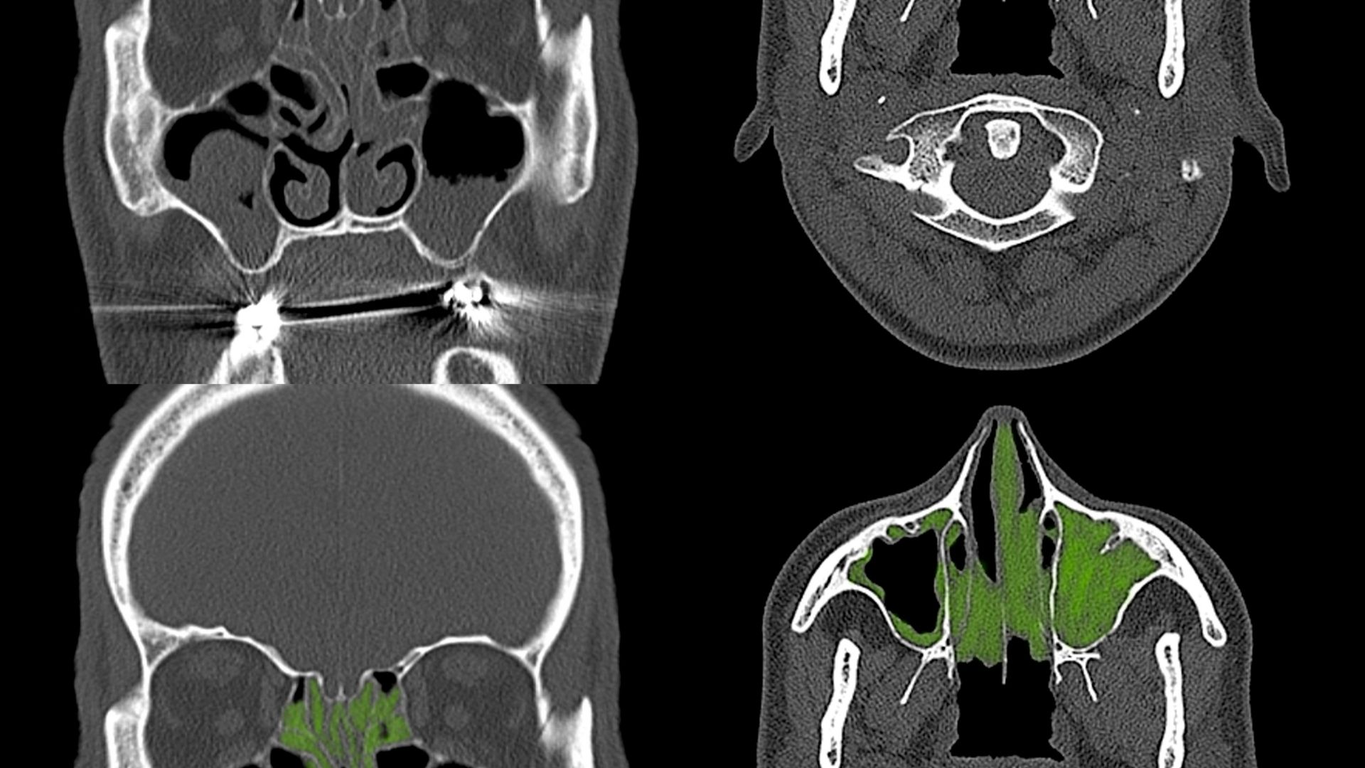
Dicas de Atendimento Farmacêutico para Sinusite (Rinossinusite)

Introdução A sinusite, tecnicamente chamada de rinossinusite, é a inflamação da mucosa que reveste os seios da face. Na farmácia, é crucial saber diferenciar a sinusite viral (comum em resfriados) da sinusite bacteriana, que exige prescrição de antibióticos. O papel do farmacêutico é focar no alívio da pressão facial, na drenagem da secreção e na … Ler mais

Dicas de Atendimento Farmacêutico para Torcicolo

Introdução O torcicolo é uma contração muscular involuntária e dolorosa dos músculos do pescoço, principalmente do esternocleidomastóideo. É uma queixa extremamente comum no balcão, geralmente causada por má postura ao dormir, movimentos bruscos, estresse ou exposição prolongada a correntes de ar frio. O papel do farmacêutico é promover o relaxamento muscular e o alívio da … Ler mais